williamhill新闻

williamhill新闻

您当前所在位置: 网站首页 > 正文

贵医口腔修复种植科首次为4岁患儿完成外胚层发育不全义齿修复

日期:2023-02-28       作者:王永、谭雯珈、姜炜鹏、李文凤       来源:口腔修复种植科       编辑:姜文文

近年来,williamhill官网附属口腔医院(后文简称贵医口腔)在临床诊疗方面每年均有多个技术创新或突破。期间,副经理、口腔修复种植科主任医师王永曾带领团队完成多名外胚层发育不全患儿的可摘局部义齿及全口义齿修复,222日,更是为一位4岁患儿完成了罕见外胚层发育不全可摘局部义齿修复该患儿为目前口腔医院完成修复治疗年龄最小的患者

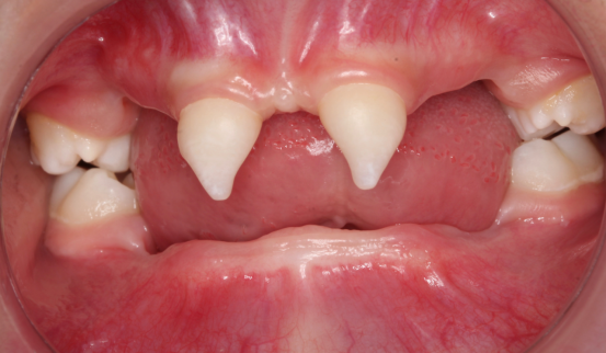
  患者4岁,乳牙未正常萌出,上颌仅4下颌仅2颗乳牙,不能正常咀嚼,于2022年底在外地就诊多次无法修复,专程到口腔医院就诊。在后疫情时期,患者经王永门诊诊治后商讨出诊疗方案医院细心安排,于222由王永带领谭雯珈、姜炜鹏等医师,使用修复、正畸、修复工艺等多项技术,顺利完成了大面积乳牙缺失修复患儿现场进食效果良好,家长及患儿十分满意。

  为鼓励患儿积极治疗,配合完成义齿修复,护士长李文凤与科室护理人员特为患儿准备了玩具、零食等物品,积极配合开展多学科护理,高效、协调合作,取得患儿心理上的信任,双方配合默契,为顺利完成修复作出了积极贡献。

  口腔修复种植科作为贵州省临床重点学科及专科,在罕见病、疑难病的诊断和治疗上有特色鲜明的治疗项目MDT协作诊疗模式更是十分成熟,此次诊疗在医护技团队通力协作下,为减少患儿就诊次数及周期,减轻家长异地就诊负担,压缩诊疗周期,当日便根据诊疗方案完成个性化复杂可摘局部义齿椅旁制作患儿佩戴上义齿露出笑容患儿家属对修复种植科团队的真诚谢意,充分给予了医务人员成就感和满足感,贵医口腔将会持续提升技术软实力,帮助更多患者找回自信微笑。

延伸阅读

什么是外胚层发育不全?

外胚层发育不全(ectodermal dysplasiaED),是一种先天性遗传病,发病率约为1/100000。临床主要表现为少汗或无汗,毛发稀疏,牙发育不全三联征。

外胚层发育不全对口腔有什么影响?

因其口腔表征为先天缺牙甚至无牙颌,且缺牙患儿口内余留牙往往表现为锥形牙、釉质发育不良、牙槽嵴发育不良等,可严重影响患儿的咀嚼功能及面部软硬组织生长发育。

现阶段有什么样的修复方式及修复时机?

目前观点普遍认为,患儿在早期进行修复治疗可以促进其颌骨及颞下颌关节发育,也可尽早恢复发音、咀嚼、吞咽功能,因此口腔修复治疗应在患儿颌骨和牙齿发育成熟之前进行。

根据临床经验,普遍认为传统义齿(通常为可摘局部义齿或全口义齿)修复时机为患儿可配合口腔修复治疗的过程,并且有自主佩戴义齿的能力时。对处于生长发育期的外胚层发育不全患者,因其颌骨发育、牙齿萌出和种植体之间的相互影响尚未完全明确,种植时机的选择仍存在争议。

幼龄儿童可摘局部义齿修复的治疗难点?

(1) 配合度较低,就诊专注时间短;

  (2) 牙弓较小,常规人工牙无法完成排牙;

  (3) 牙体形态发育异常,常规卡环固位力差。

  随着口腔健康知识的普及和对疾病的进一步认识,患者首诊时间趋于低龄化,因此全方位、个性化地为患者制定治疗方案逐渐成为首选