人们常说:“人一老啊,牙齿就会跟着掉”。那么这种说法对吗?
答案是不对的。其实不单是老年人,其他年龄段人群如果患上牙周病、根尖周病等疾病,或因外伤都会导致牙齿松动、脱落。目前,牙周炎是致使成人牙齿松动、脱落的首要原因。根据第四次全国口腔健康流行病学调查显示:中年和老年人群中牙周健康者仅为9.1%和9.3%.
什么是牙周炎呢?
牙周炎是累及四种牙周支持组织(牙龈、牙周膜、牙槽骨和牙骨质)的慢性、炎症性、破坏性疾病。牙周最重要的支持组织就是牙槽骨,就犹如大树深深扎根在土壤中一样,我们的牙齿也牢牢的附着在牙槽骨内。当牙周炎症时,牙槽骨就会被吸收破坏,造成牙齿的“水土流失”,最终致使牙齿松动甚至脱落。
牙周炎有什么临床表现呢?
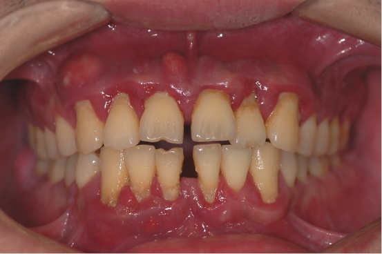
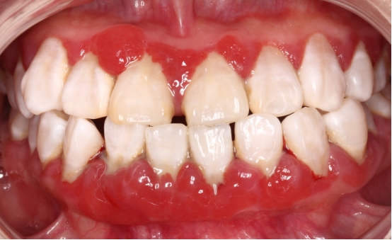
牙龈出血
刷牙出血是牙龈炎症最早且最容易发现的症状,也是牙周组织最先发出的危险警告。如果使用一些含止血成分的药用牙膏,这种牙龈炎症的“报警”就会被掩盖,导致牙周炎症继续进展,进而造成牙槽骨的炎症。
口腔异味或口臭
口腔异味或口臭是牙周组织发炎,致病菌产生的代谢产物造成的。
反复的牙龈肿痛溢脓
有些患者牙龈反复“长包”,并且有黄色的脓液流出,这就是牙周炎症导致的“牙周脓肿”。
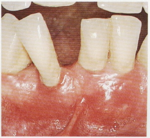
牙龈萎缩及牙齿敏感
当我们的牙槽骨萎缩时,牙龈会跟着萎缩,牙龈萎缩会导致牙根暴露,继而出现牙齿敏感。
牙缝越来越大,牙齿移位,最后脱落
有的患者发现随着年龄的增长,门牙,尤其是上门牙的牙缝越来越大,牙齿逐渐散开。这是因为我们牙齿的“土壤”即牙槽骨高度越来越低,不足以支撑我们的牙齿,牙齿在很轻的力量的长期作用下,比如说话时舌头作用于牙齿的力就会造成牙齿的移位,导致牙缝越来越大。
食物嵌塞
牙周炎症导致牙龈萎缩、牙缝增大,食物嵌塞也就随之而来。
如果发现自己出现了上述症状,即使只有1条,也要尽快到专业牙周科检查!牙周病初期症状不明显,很多人不到牙齿脱落的时候,并不会意识到。但如果真到那时,牙周病就已经相当严重了。
牙周炎是可以治愈的吗?
目前牙周炎治疗只能控制病变的进展,达不到组织学上的治愈。但经过专业的牙周系统治疗,牙周炎可以维持咀嚼功能。因此要早发现,早治疗,预后才好。
怎么预防牙周炎呢?
对于牙周健康的人来说,需要做好两方面的预防工作。一是要做好个人口腔卫生维护,目前国际推荐使用“改良bass刷牙法”刷牙,配合使用牙线、牙缝刷、冲牙器等。二是建议每半年到一年,进行一次专业的牙周检查及龈上洁治。
对于牙周炎患者,经过系统的牙周治疗后,需要遵医嘱,在3-6个月后再进行专业的牙周复查。
我每半年洁牙一次,就不会得牙周炎吗?
答案是否定的。对于牙齿健康的人来说,可以每半年到一年进行一次预防性洁治。但对牙周疾病患者来说,半年的时间牙周有可能发生变化,所以建议洁牙时一定要到专业的牙周科就诊,听从专业牙周医生的建议。
牙周炎是可防可控的,大家一定要早发现、早预防、早治疗。
