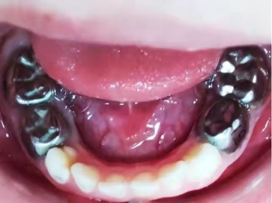
乳牙根管治疗是儿童口腔科常见的治疗方法,可是治疗结束后为什么医生都会为小朋友戴上这样一个金属小帽子,让小朋友们都变成了“钢铁侠”?
这个可爱的金属小帽子叫儿童乳牙金属预成冠,是一种预先成型的、与牙齿非常贴合的不锈钢金属牙冠。根管治疗完成后仍然存在继发龋、充填物脱落等可能性,这就需要有一个这样的金属小帽子套在乳牙上能够保护牙齿、增加牙齿的强度,确保乳牙正常地被恒牙替换。

对于乳磨牙的龋损,临床上通常采用玻璃离子或光固化树脂进行充填,但由于乳牙牙冠短、牙体硬组织薄、洞型制备深度有限、操作中隔湿困难等问题,其固位形及抗力形较差,充填物易脱落,最终导致治疗失败。并且由于常规充填术不能恢复乳牙解剖外形及高度,因此无法建立正常的咬合关系,不利于颌面部生长发育及诱导正常恒牙列的形成。金属预成冠的应用正好可以解决这些问题。
临床操作中预成冠的牙体预备去除组织较少,易恢复解剖外形、近远中径及其增加牙齿硬度、恢复牙齿外形和咀嚼功能;且操作比较简单,可有效解决玻璃离子、树脂类材料修复过程中所遇到的隔湿、继发龋及脱落等问题,减少了患儿后续就诊次数,延长牙齿存留时间直至其继承恒牙萌出。
来源:预防及儿童口腔科
作者:魏宏琳
编辑 排版:姜文文
审核:张军梅 卢虹 郑慧颖