您当前所在位置: 网站首页 > 专题专栏 > 健康科普 > 口腔健康科普 > 正文

牙意外脱落怎么办?

日期:2021-11-19       作者:罗亮       来源:牙周黏膜科       编辑:姜文文


 

  如果你的朋友因为交通、斗殴、骑车、跌打损伤等意外撞击掉出来了怎么办??及时放到牛奶里,火速去医院,还是有很大希望再植回去的!!

 

 

不要惊讶,我们今天诚意满满地为读者献上一个新技能“牙齿完全脱位后的应急救治”

 

什么是牙脱位?

简单来说,受外力猛烈撞击导致牙齿错位甚至脱离牙槽窝的现象一般分为以下4种情况:

如果牙脱位了,但是还在牙槽窝里,有伸长感,牙咬不合拢,叫不完全脱位;

如果牙移位了,牙冠向口腔里面倾斜,叫唇向脱位;

如果牙嵌入牙槽骨里,露了部分牙冠出来,叫嵌入性脱位;

如果一颗牙齿完全地掉出来了,那就是所谓的完全脱位。

 

  那么如在日常生活中,遇到因面部遭受意外撞击导致牙齿脱落的情况要怎么处理呢?黄金原则是 ↓↓

  1、不管什么程度的牙脱位,都要去医院急诊!立刻!马上!

  2、如果牙齿整颗掉出来了,不要放弃,捡起你的牙齿去医院!立刻!马上!

现在最关键的时刻来了!这颗牙,该怎么送到医院去呢?

 

:纸巾擦擦干净然后包好,以光速赶到医院?

:绝对不可以!第一不能用力擦,会破坏牙根周围最宝贵的牙周膜第二,绝对不能干燥保存,会导致牙周膜和牙根脱水坏死那就没救了

 

问:拿在手上?

答:也不行。空气中和手上的细菌多不胜数。

 

问:用生理盐水泡着,带到医院?

答:如果真的那么巧手边有一瓶生理盐水,倒是可以用来冲洗一下被污染的牙齿,然后临时保存。但是,大多情况不会带着生理盐水出门或者手边正好有药店

 

问:正确做法是什么呢

答:比较可操作的做法是↓↓

首先用纯净水温柔地、小心地冲洗下被污染的牙齿(对,万一它就掉到什么沟沟里了呢),不要去刮除那些看起来肉肉的东西,尽可能多的保护好牙周膜,才能使牙周纤维再附着,让牙齿完璧复原
  其次,就近购买一瓶鲜牛奶(注意不是酸奶)将牙齿寄存在内。鲜牛奶通常经过灭菌处理,是临时可能找到的最好的无菌液体介质,能极好地保护牙根和牙周膜;
  如果连牛奶也找不到,那么最后一招。漱漱口,把牙齿放回牙窝里,或者含在嘴里。虽然口腔环境不见得多干净(特别是患有牙周炎的口腔),但是总比暴露在空气中强。

:到了医院,我掉了的牙命运怎么样?

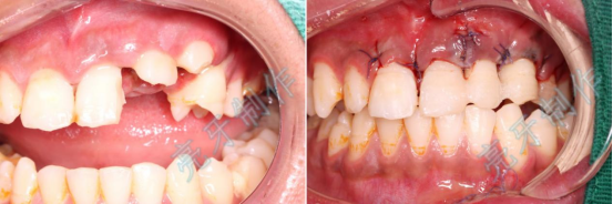
我们会安排将脱落的牙再植回去!看看图,大家会明白一些。

 

病例一:上门牙外伤,牙齿脱落;再植治疗3个月后,恢复良好。

 

病例二:外伤导致上牙槽骨骨折,而且上下两颗门牙脱位;通过治疗,上下两颗门牙均恢复原来位置,而且和之前一样结实。

 

病例三:牙齿嵌入牙槽骨,松动明显,经过治疗,稳定了,也恢复了外形。

 

病例四:右侧前牙牙齿嵌入牙槽骨,无法咬合,治疗后,恢复功能和外形。

 

病例五:牙齿嵌入牙槽骨,牙龈撕裂,治疗后,恢复了自信和美丽的笑容。

 

最后也是最重要的,牙外伤、牙脱落要赶紧到专业的口腔医院寻求专业援助,速度要快,再啰嗦一遍,脱位牙离体时间越短,再植后成功机会也就越大。

 

  延伸阅读:

罗亮,硕士研究生,主治医师,中共党员,毕业于williamhill官网2015年至今从事口腔牙周黏膜疾病,贵州省口腔医学会口腔黏膜病及中西医委员会委员。主持青年人才成长项目1项,科学技术基金项目1项,院级科研基金项目1项,临床新技术项目1项,发表论文3篇,其中核心论文2篇。2017年4月-5月于台湾辅英科技大学交流学习,2020年-2021年于四川大学华西口腔医院牙周病科进修。

主要从事口腔黏膜病、牙体牙髓病、牙周病等疾病的诊疗:  

1、口腔黏膜病和牙体牙髓病的诊断和治疗;擅长对复发性口腔溃疡、口腔扁平苔藓、灼口综合症、口腔黏膜感染性疾病、过敏性口炎等口腔黏膜疾病的诊治,熟悉各种类型的牙体、牙髓及根尖周病的诊疗。

2、各型牙周疾病的诊断和治疗;擅长规范化牙周基础治疗、牙周-牙髓联合治疗、正畸及修复患者的牙周治疗、系统性疾病患者的牙周治疗和各型牙周手术(包括牙龈瘤切除术、牙龈成形术、种植体周围炎、牙半切除术、截根术、松牙固定术、根尖囊肿切除术、拔牙位点保存术、牙周组织再生术、牙冠延长术、牙周辅助加速成骨正畸治疗(PA0O)、牙再植术、前庭沟加深术、游离龈移植术、结缔组织移植等膜龈手术)。

 

牙周黏膜科简介:

williamhill官网附属口腔医院牙周黏膜科是我省重要的牙周病和口腔黏膜病诊疗及研究基地,科室技术力量雄厚,现有医师16名,其中,知名专家1人,主治医师6人,博士学历4人,研究生学历12人;护理人员7名(主管护师1名、护师4名、护士2名)。担任中华口腔医学会口腔黏膜病专委会常务委员1人,贵州省口腔医学会口腔黏膜病及中西医结合专委会主任委员1人,贵州省口腔医学会牙周病专委会副主任委员1人。科室近年先后主持国家自然科学基金项目2项及省部市科研课题多项,拥有硕士生导师1名,每年培养硕士研究生3-4名。

诊疗范围:

1、表现为牙龈出血、口臭症、牙松动、咬合无力的各类型的牙龈疾病、牙周炎、牙周牙髓联合病变,包括全身疾病的牙周病变等的诊治。

2、各型口腔黏膜疾病诊治,包括口腔扁平苔藓、口腔白斑病、各类口腔溃疡、口腔黏膜特殊感染、口腔黏膜大疱类疾病、灼口综合征、唇舌疾病,涉及全身疾病的口腔表征、伴有口腔黏膜损害的皮肤黏膜疾病、口腔黏膜癌前病变的诊断及治疗。

3、配合修复及正畸治疗开展的各种牙周手术(如牙冠延长术、牙龈成形术、骨皮质切开术加速正畸牙移动等)。拔牙后的位点保存、牙种植术及种植体周围炎的防治。