您是否会有这样一种感觉?张嘴总是听到“咔咔”的声音,甚至嘴巴会出现突然张不开的情况,偶尔还会有疼痛,这究竟是怎么回事呢?其实这种现象,在医学上称为颞下颌关节紊乱综合征(Temporomandibular Disorder,TMD)。
什么是颞下颌关节紊乱病?
颞下颌关节紊乱病也称为颞下颌关节紊乱综合征(Temporomandibular Disorders,TMD),是口腔科常见疾病之一,主要涉及颞下颌关节及其周围肌肉、韧带等组织,它是一组病因尚未完全清楚但具有相同或相似临床症状的疾病的总称,主要表现为疼痛、关节弹响、下颌运动异常等。

颞下颌关节紊乱病的主要症状有哪些?
1、疼痛:颞下颌关节区疼痛,可能放射至头颈部引起头痛,尤其在张口、咀嚼食物时疼痛加剧。
2、关节弹响、杂音:张口、闭口或咀嚼时,关节发出“咔咔”的弹响或纸张摩擦的声音以及破碎音等杂音。
3、下颌运动异常:开口度异常(过大或过小)、开口型异常(偏斜或歪曲),以及开闭口运动中出现间歇性锁结(关节绞锁)。

颞下颌关节紊乱病的病因?
颞下颌关节紊乱病的病因尚未完全阐明,一般认为是多因素发病。比如牙齿咬合紊乱、紧张焦虑等精神心理因素、颌面部创伤、夜磨牙、不良行为习惯等。

如何诊断颞下颌关节紊乱病?
颞下颌关节紊乱病的诊断主要靠临床检查以及影像学检查。
临床检查:医生会详细询问病史,进行颞下颌关节区的触诊,检查开口度、开口型及关节弹响等情况。

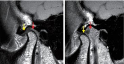
影像学检查:CT检查可观察髁突骨质及结构变化;MRI有助于发现关节盘移位、破裂或穿孔;颞下颌关节镜检查可直接观察关节滑膜的炎症性改变。

颞下颌关节紊乱病怎么去治疗呢?
颞下颌关节紊乱病的治疗主要分为保守治疗和手术治疗。
保守治疗:
休息:减少下颌的过度使用,避免长时间张口和咬硬物。

物理治疗:激光理疗、红外照射、热敷、针灸、按摩超声波、电疗、冷冻等疗法。
药物治疗:局部使用非甾体抗炎药(如布洛芬)可缓解疼痛和炎症。
咬合板:定制的咬合板可调整咬合关系,减轻关节负担。

心理治疗:对于因心理因素导致的颞下颌关节紊乱,心理治疗和放松训练可能有帮助。
如果病情发展到一定程度我们可以配合关节腔注药或者肌肉内注射方法,来起到润滑关节、减轻局部炎症的效果,适当时候可以配合手法复位。

手术治疗:
关节镜手术或开放性手术。

颞下颌关节紊乱病的治疗需要遵循从可逆性保守治疗到不可逆性保守治疗再到外科手术治疗的治疗原则。
如何预防颞下颌关节紊乱病?
1、避免长时间张口:减少打哈欠时的过度张口。
2、避免咀嚼较硬食物:减少对颞下颌关节的过度负荷。
3、保持心情愉快以及规律作息。
4、避免冷刺激及外力撞击等。
5、避免紧咬牙、偏侧咀嚼、夜磨牙等不良习惯。
颞下颌关节紊乱病虽然常见,但大多数情况下可以通过保守治疗得到缓解。保持良好的生活习惯,避免不良行为,及时就医,是预防和治疗该病的关键。